Un carcinome vésical transitionnel chez une chienne beagle
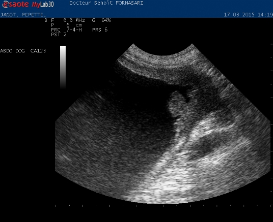
Mercredi 12 Septembre 2018 Animaux de compagniePhoto 1 La présence d'une masse pédiculée localisée au trigone vésical est fortement évocatrice d'une tumeur et en particulier d'un carcinome transitionnel.
© D.R.
Un carcinome vésical transitionnel est diagnostiqué chez une chienne beagle présentée pour hématurie en fin de miction et dysurie. Le traitement de ce cancer a pour objectif de diminuer la taille de la tumeur pour empêcher l'obstruction progressive des vo...
« Toute reproduction, diffusion, traduction ou exploitation totale ou partielle de nos contenus de quelque nature que ce soit, accessibles gratuitement ou non, sans l’autorisation écrite et préalable de La Dépêche Vétérinaire, est strictement interdite (articles L. 335-2 du Code de la propriété intellectuelle) »





