Vomissements improductifs et anorexie chez un chien : quel est votre diagnostic ?
Photo n° 1B : Radiographie abdominale de profil.
© D.R.
Jennyfer THIBAUD
Résidente ECVS
Veterinary Specialists Ireland
(Clonmahon - Summerhill - Irlande)

Exposé
Une chienne shih tzu femelle stérilisée de 2 ans est présentée à la suite de multiples vomissements improductifs et d'une anorexie marquée, trois jours après l'ingestion de colle polyuréthane (The Gorilla Glue ND).
L'examen clinique général met en évidence un abdomen crânial tendu avec une masse ferme et mobile, palpable en regard de l'estomac. Le reste de l'examen général est sans anomalie.
Un examen sanguin (numération-formule et biochimie) est réalisé.
Les résultats apparaissent dans les intervalles de référence de l'espèce.
Des radiographies abdominales orthogonales (photos 1A et 1B) sont réalisées.
1/ Quel est votre diagnostic ?
2/ Quel traitement proposez-vous ? ■
Réponses
1/ Quel est votre diagnostic ?
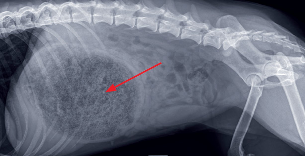
Les radiographies abdominales mettent en évidence une silhouette stomacale hétérogène distendue avec un pattern tacheté/moucheté en son sein, un effet de masse en région crâniale est observé (photo n° 2).
Associées aux antécédents cliniques, elles suggèrent la présence d'un cyano-bézoard gastrique, formé à la suite de l'ingestion de colle, entraînant une obstruction du pylore et du cardia.
La Gorilla Glue ND est une colle polyuréthane très puissante et résistante, connue pour sa capacité à coller une grande variété de matériaux (bois, métal, céramique, pierre et certains plastiques).
En cas d'ingestion et en raison de son effet expansif au contact de l'humidité, elle peut former une masse dure (cyano-bézoard) dans l'estomac ou l'intestin grêle, entraînant une obstruction digestive haute.
2/ Quel traitement proposez-vous ?
La chirurgie est actuellement le traitement de choix en médecine vétérinaire et humaine.
Une gastrotomie est généralement réalisée pour retirer le corps étranger (photos n° 3A et 3B).
Le retrait par les voies naturelles (vomissements ou gastroscopie) a également été décrit chez le chien, même si l'induction de vomissements présente un risque compte tenu de la composition chimique de cette colle.
D'autre part, l'endoscopie peut en théorie entraîner des lésions iatrogéniques de la muqueuse oesophagienne.
Bien que la Gorilla Glue ND n'adhère pas à la surface muqueuse lors de son ingestion, elle peut provoquer une congestion, des lacérations et, plus rarement, une perforation intestinale. Il est donc important d'inspecter la paroi gastrique lors du retrait du corps étranger. J.T.
Lecture conseillée
Friday S, Murphy C, Lopez D, Mayhew P, Holt D. Gorilla Glue Ingestion in Dogs : 22 Cases (2005-2019). J Am Anim Hosp Assoc. 2021;57:121-7.






