Une suspicion de gestation extra-utérine chez une chatte
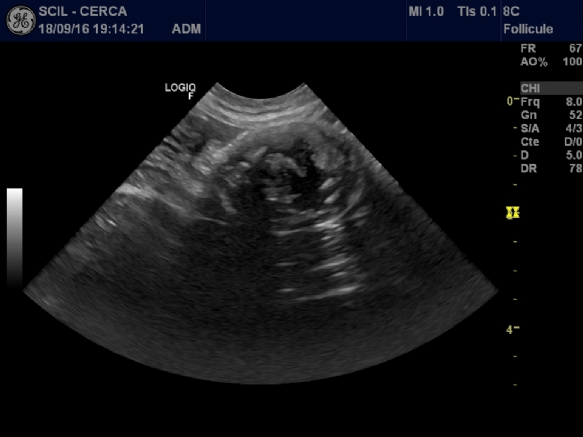
Photos 1 Images échographiques en différentes coupes de la masse abdominale. Structure sphérique sans lien apparent avec les organes aux alentours. Quelques cônes d'ombre sont observés attestant de la présence de zones calcifiées.
© CERCA, ENVA
Juliette ROOS
ECAR Resident Small Animals
CHUVA
Ecole vétérinaire d'Alfort
Reproduction
La présence de foetus en dehors des voies génitales a fait l'objet de plusieurs cas publiés dans l'espèce féline. Si les vraies gestations extra-utérines (développement foetal hors de l'utérus) sont décrites chez la femme, leur existence chez la chatte n'a jamais été établie à notre connaissance. Les foetus sont plutôt des découvertes fortuites au stade de foetus momifié. La présence de foetus momifiés intra-abdominaux chez la chatte ne semble pas être anecdotique, comme le montre ce cas clinique.
Une chatte européenne stérilisée de 4 ans est présentée pour un bilan de santé suite à une ovario-hystérectomie réalisée trois mois auparavant. Avant celle-ci, elle avait eu deux gestations.
La première, deux ans et demi auparavant, s'est soldée par une mise bas prématurée avec des petits à terme, dont la cause n'a pas été recherchée.
La seconde est allée à son terme normalement avec mise bas naturelle de quatre chatons vivants.
Lors du cycle suivant, une nouvelle gestation a été constatée et une ovario-hystérectomie a été réalisée (vers 30 jours de gestation). L'intervention chirurgicale s'est déroulée sans incident. Aucune anomalie de l'utérus ou des ovaires n'a été détectée par le chirurgien.
La chatte est en bon état général lors de sa présentation. L'examen clinique révèle une palpation abdominale souple et non douloureuse mais avec présence d'une masse ferme d'environ 3 cm de diamètre dans l'abdomen moyen qui semble mobilisable et non adhérente aux organes environnants.
Le diagnostic différentiel d'une masse abdominale comporte principalement les affections suivantes : organomégalie, tumeur, hématome, corps étranger.
Observation d'une masse encapsulée
Différents examens complémentaires ont été réalisés pour déterminer l'origine de cette masse :
- échographie abdominale (photos n° 1) : observation d'une masse sphérique hétérogène de 2 cm de diamètre avec des parties calcifiées ; aucun lien avec les organes autour n'a été identifié, la masse semble encapsulée ; certaines zones semblant calcifiées, il a été décidé de réaliser une radiographie abdominale ;
- radiographies abdominales : observation d'une masse encapsulée contenant ce qui pourrait être des os (photo n° 2) ; cette image ainsi que les images échographiques évoquent un foetus momifié ou un nodule de Bate ( nodular fat necrosis ) ; malgré la forte suspicion de foetus momifié, aucun diagnostic de certitude ne peut être fait avec ces examens d'imagerie ;
Laparotomie exploratrice
- le bilan biochimique pré-anesthésique en vue d'une laparotomie exploratrice (urémie, créatininémie, phosphatases alcalines, alanine aminotransférases, protéinémie, albuminémie, glycémie) et l'hématocrite sont sans anomalie.
Une laparotomie exploratrice est décidée. Une masse encapsulée d'aspect nacré ne présentant aucune adhérence avec les organes environnants est retirée puis envoyée au laboratoire pour analyse histologique (photos n° 3).
Elle révèle la présence de cellules typiques de placenta, de peau, d'os et de cartilage caractéristiques d'un foetus momifié. L'exérèse n'a eu aucune conséquence sur la vie de l'animal.
Les gestations extra-utérines vraies, ou ectopiques, représentent environ 1 % des gestations chez la femme et sont la cause d'approximativement 10 % des décès lors de grossesse et de 16 % des cas d'hémorragie [1].
Il s'agit de gestations se déroulant hors de l'utérus. Elles se classent en deux sous-catégories : les gestations tubaires (dans la trompe de Fallope, qui représentent environ 95 % des gestations extra-utérines humaines) et les gestations abdominales.
Gestations tubaires chez les primates
Ces dernières se classent également en deux catégories. D'une part sont décrites les gestations abdominales primaires lors desquelles le foetus n'a eu aucun lien avec l'utérus et la placentation se retrouve alors sur d'autres organes abdominaux (mésentère, péritoine ou tout organe abdominal) [2].
Ce cas de figure intervient notamment lorsque l'ovule (qui peut être fertilisé dans l'abdomen) ou l'embryon s'échappe de l'oviducte et peut être la conséquence de manipulations chirurgicales, par exemple une hystérectomie dans la période proche d'une copulation [1, 3, 4].
D'autre part sont décrites les gestations abdominales secondaires qui se définissent comme des gestations débutant au sein de l'utérus avec passage du foetus dans la cavité abdominale suite à une rupture utérine.
Le placenta peut alors être retenu dans l'utérus, réimplanté ailleurs dans l'abdomen ou être totalement détaché. Il s'agit d'un avortement intra-abdominal.
Chez l'animal, les gestations tubaires sont très rares et décrites uniquement chez les primates [1, 5]. La poursuite du développement d'une gestation abdominale, observée chez la femme, est rarement décrite chez l'animal et les cas publiés sont majoritairement des gestations abdominales secondaires.
Pas de cicatrice sur l'utérus
La lapine peut présenter une gestation abdominale avec développement des foetus jusqu'à l'obtention de foetus proches du terme [6, 7]. Cette similitude entre les deux espèces s'explique par un mode de placentation similaire (hémochoriale).
Chez les espèces n'ayant pas ce type de placentation, la possibilité d'une vie extra-utérine semble très peu probable. A notre connaissance, aucune publication n'a fait la preuve d'un développement placentaire extra-utérin chez la chatte.
Néanmoins, il s'agit de l'espèce chez laquelle il existe le plus grand nombre de case reports le suspectant. Des cas ont également été décrits chez la chienne, la brebis, la jument, la vache, la truie, le hamster et le rat [5, 7-11].
Dans notre cas, aucune cicatrice n'a été visualisée sur l'utérus. Ceci est très fréquent, le myomètre ayant une forte capacité de régénération. De plus, au vu de l'état de momification, le foetus ne devait pas être issu de la dernière gestation qui était peu avancée (foetus non ossifiés alors qu'un squelette a été trouvé au sein de la momie).
Souvent une découverte fortuite
Nous pouvons suspecter que la sortie du foetus de l'utérus a été consécutive à un traumatisme lors de la première gestation ayant probablement provoqué la mise bas prématurée.
Le foetus était encapsulé dans une structure lisse sans adhérence aux autres organes.
La formation de ce type de structure, parfois calcifiée, avec possibilité de conservation stérile à l'intérieur de l'abdomen, est également bien décrite chez la femme. On parle de lithopédion, ou stone child , qui peut rester plusieurs années sans signe clinique (le cas le plus long étant d'environ 65 ans) [12].
Ainsi, la présence de foetus momifiés intra-abdominaux chez la chatte ne semble pas être anecdotique. Il s'agit le plus souvent de découverte fortuite, l'animal ne montrant aucun signe clinique associé à leur présence.
Le myomètre ayant des capacités de régénération très rapide, les marques de rupture utérine ne sont souvent pas visibles macroscopiquement. ■
Références
[1] Corpa JM. Ectopic pregnancy in animals and humans. Reproduction 2006;131:631-40. doi:10.1530/rep.1.00606.
[2] Bajis R, Paterson D, McElhinney B. Primary omental ectopic pregnancy: a case report. J Obstet Gynaecol 2018:1-2. doi:10.1080/01443615.2018.1473351.
[3] Fylstra DL. Ectopic pregnancy after hysterectomy: a review and insight into etiology and prevention. Fertil Steril 2010;94:431-5. doi:10.1016/j.fertnstert.2009.03.039.
[4] Schyum AC, Rosendal B-MB, Andersen B. Peritoneal reimplantation of trophoblastic tissue following laparoscopic treatment of ectopic pregnancy: A case report and review of literature. J Gynecol Obstet Hum Reprod 2018. doi:10.1016/j.jogoh.2018.08.019.
[5] Rosset E, Galet C, Buff S. A case report of an ectopic fetus in a cat. J Feline Med Surg 2011;13:610-3. doi:10.1016/j.jfms.2011.04.003.
[6] Marco-Jiménez F, García-Domínguez X, Valdes-Hernández J, Vicente JS. Extra-uterine (abdominal) full term foetus in a 15-day pregnant rabbit. BMC Vet Res 2017;13. doi:10.1186/s12917-017-1229-7.
[7] Segura Gil P, Peris Palau B, Marti´nez Marti´nez J, Ortega Porcel J, Corpa Arenas JM. Abdominal pregnancies in farm rabbits. Theriogenology 2004;62:642-51. doi:10.1016/j.theriogenology.2003.11.005.
[8] Eddey PD. Ectopic Pregnancy in an Apparently Healthy Bitch. J Am Anim Hosp Assoc 2012;48:194-7. doi:10.5326/JAAHA-MS-5732.
[9] Brozos C, Karagiannis I, Kiossis E, Giadinis N, Boscos C. Ectopic pregnancy through a caesarean scar in a ewe. N Z Vet J 2013;61:373-5. doi:10.1080/00480169.2013.800443.
[10] Planellas M, Martin N, Pons C, Font J, Cairo J. Mummified Fetus in the Thoracic Cavity of a Domestic Short-haired Cat. Top Companion Anim Med 2012;27:36-7. doi:10.1053/j.tcam.2012.02.001.
[11] Nack RA. Theriogenology Question of the Month. J Am Vet Assoc 2000;217.
[12] Gedam BS, Shah Y, Deshmukh S, Bansod PY. Skeletal remains of mummified foetus for 36 years in mother's abdomen. Int J Surg Case Rep 2015;7:109-11. doi:10.1016/j.ijscr.2014.10.074.






