Syndrome vestibulaire du chien : démarche diagnostique et prise en charge en urgence
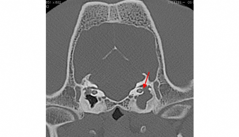
Mercredi 30 Mars 2022 Animaux de compagniePhoto n° 1 : Coupe tomodensitométrique transverse du crâne d'un bouledogue français présentant une otite moyenne et interne unilatéralement à gauche (flèche).
© D.R.
Le nystagmus et l'inclinaison du port de tête sont des signes fréquents chez le chien lors d'atteinte vestibulaire. Après les rappels anatomiques, les signes cliniques et les causes (lire DV n° 1610 , 1611 et 1612 ), cet article présente la démarche...
« Toute reproduction, diffusion, traduction ou exploitation totale ou partielle de nos contenus de quelque nature que ce soit, accessibles gratuitement ou non, sans l’autorisation écrite et préalable de La Dépêche Vétérinaire, est strictement interdite (articles L. 335-2 du Code de la propriété intellectuelle) »





