Syndrome fébrile et douleur abdominale chez un chien : quel est votre diagnostic ?
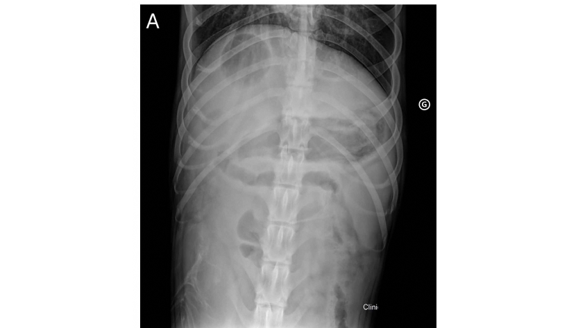
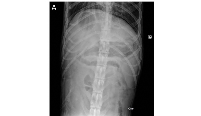
Mercredi 12 Fevrier 2025 Animaux de compagniePhoto n° 1A : Radiographie de face de l'abdomen crânial.
© D.R.
Un berger blanc suisse mâle entier de 6 ans est présenté pour l'exploration d'une hépatopathie dans un contexte de syndrome fébrile, polydipsie et de vomissements évoluant depuis 3 jours.
« Toute reproduction, diffusion, traduction ou exploitation totale ou partielle de nos contenus de quelque nature que ce soit, accessibles gratuitement ou non, sans l’autorisation écrite et préalable de La Dépêche Vétérinaire, est strictement interdite (articles L. 335-2 du Code de la propriété intellectuelle) »





