Syndrome du radius court : le traitement
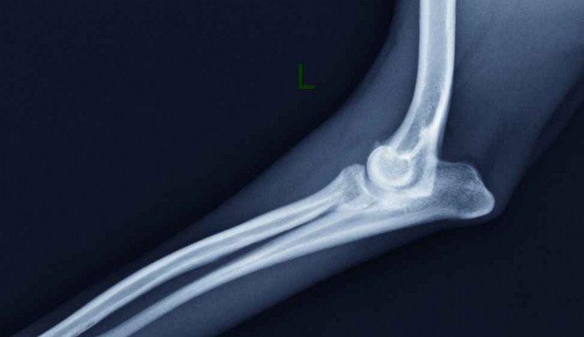
Mercredi 11 Fevrier 2026 Animaux de compagnieRadiographie de profil de l'articulation du coude gauche d'un chien présentant un syndrome du radius court.
© D.R.
Le syndrome du radius court est une anomalie radio-ulnaire observée chez les chiots en croissance et les adultes, pouvant provoquer une incongruence au niveau du coude ainsi qu'une subluxation de la tête radiale. Cette affection entraîne une sollicitation...
« Toute reproduction, diffusion, traduction ou exploitation totale ou partielle de nos contenus de quelque nature que ce soit, accessibles gratuitement ou non, sans l’autorisation écrite et préalable de La Dépêche Vétérinaire, est strictement interdite (articles L. 335-2 du Code de la propriété intellectuelle) »





