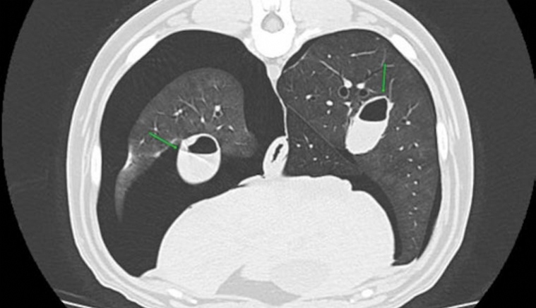
Pleurodèse par injection intrapleurale de sang dans la gestion d'un pneumothorax persistant
Samedi 28 Janvier 2023 Thérapeutique© Marie-Laure Théron
La pleurodèse est une technique rapide, facile et peu couteuse utilisée en médecine humaine et en médecine vétérinaire dans la gestion des pneumothorax persistants. Cet article abordera le principe de la pleurodèse au sang, ses indications et sa réalisati...
« Toute reproduction, diffusion, traduction ou exploitation totale ou partielle de nos contenus de quelque nature que ce soit, accessibles gratuitement ou non, sans l’autorisation écrite et préalable de La Dépêche Vétérinaire, est strictement interdite (articles L. 335-2 du Code de la propriété intellectuelle) »





