Ne pas confondre dermatose nodulaire contagieuse et pseudo-dermatose due à l'herpèsvirus bovin 2 : un cas de suspicion en Moselle

Figure n° 3 : Lésions cutanées variées de PDNC. Certaines se détachent en laissant place à des zones arrondies sombres et glabres sur la peau de l animal.
© Matthieu Henry
Jeanne BRUGERE-PICOUX
Professeur honoraire de l'école vétérinaire d'Alfort
Membre de l'Académie nationale de médecine et de l'Académie vétérinaire de France
Matthieu HENRY
Clinique vétérinaire Henry
(55150 Mangiennes)
Diagnostic
Depuis le 79e foyer lyonnais de dermatose nodulaire contagieuse (DNC), une hausse très significative des cas de suspicions négatives témoigne de l'inquiétude des éleveurs vis-à-vis de cette maladie. Ce fut le cas d'une suspicion de DNC déclarée début septembre dernier, dans un élevage de 700 vaches laitières à plus de 450 km du foyer lyonnais dans la région de Verdun. La recherche de la DNC s'étant révélé négative, de même que celle d'une teigne où les lésions sont parfois similaires, d'autres examens sont en cours. Il pouvait alors s'agir d'une pseudo-dermatose due à l'herpèsvirus bovin 2.
Depuis l'apparition pour la première fois en France de la dermatose nodulaire contagieuse (DNC) caractérisée par des lésions cutanées survenant rapidement après une hyperthermie initiale, les moyens mis en oeuvre pour limiter la propagation de cette maladie ont révélé leur efficacité en Savoie et en Haute-Savoie.
Néanmoins les trois foyers observés ultérieurement dans l'Ain et dans le Rhône témoignent que nous n'étions pas à l'abri d'un déplacement illégal d'animaux infectés.
Ces nouveaux cas hors des foyers qui étaient circonscrits et les conséquences de l'apparition d'une DNC dans un élevage peuvent expliquer, dans ce contexte, l'inquiétude des éleveurs dès l'apparition de lésions cutanées d'étiologie incertaine dans leur troupeau, même s'il s'agit de zones géographiques indemnes, loin des foyers confirmés et en l'absence de tout autre symptôme pouvant justifier un appel du praticien.
La figure n° 1 présentant une augmentation très significative des cas de suspicions négatives depuis le 79e foyer lyonnais témoigne de cette inquiétude.
Nodules cutanés sur tout le corps sans autres symptômes de DNC
Ce fut le cas d'une suspicion de DNC déclarée début septembre dernier, dans un élevage de 700 vaches laitières à plus de 450 km du foyer lyonnais dans la région de Verdun avec les commémoratifs suivants : une hyperthermie transitoire (39 à 40° C) suivie de l'apparition de plusieurs nodules cutanés répartis sur tout le corps, en l'absence de tout autre symptôme pouvant évoquer la DNC - pas d'hypertrophie ganglionnaire, appétit conservé ; pas de diminution de la production laitière, pas de mortalité.
Certaines des lésions cutanées présentaient une zone centrale intacte, entourée d'un anneau circulaire donnant un aspect « à l'emporte-pièce » formant une surface surélevée et pratiquement plane.
La préhension des zones cutanées affectées permettait de constater un léger épaississement sans noter réellement la présence d'un nodule.
Ces lésions pouvaient être variées : oedème cutané évoquant des papules parfois importantes du fait de leur coalescence formant des lésions irrégulières (figures n° 2a et 2b), petites zones arrondies de couleur foncé très visibles (figure n° 3).
En fin d'évolution, elles sont faciles à arracher en laissant place à une zone cutanée cicatricielle glabre témoignant de l'absence d'une lésion ulcérative (figures n° 4a et 4b).
Difficile de confirmer une PDNC sur le terrain
Bien qu'il ne s'agissait pas de nodules aussi volumineux et arrondis que ceux signalés dans la DNC, sans papulo-vésiculo-pustules avec une croûte spécifique aux poxvirus, et malgré l'aspect bénin de cette infection, il était justifié de lever tout doute de suspicion de DNC car il existe des formes atténuées de DNC.
La recherche de la DNC par PCR s'étant révélé négative, de même que celle d'une teigne où les lésions sont parfois similaires, d'autres examens sont en cours (anatomopathologie et virologie). Il pouvait alors s'agir d'une infection par le BoHV-2 (pseudo-dermatose due à l'herpèsvirus bovin 2, PDCN) provoquant des lésions cutanées plus superficielles avec des symptômes discrets et d'évolution plus courte vers la guérison.
Il n'est pas aisé de confirmer une PDNC sur le terrain mais le recours au laboratoire est rarement justifié tant cette herpèsvirose bovine est bénigne dans sa forme généralisée, surtout si le diagnostic clinique de suspicion a été réalisé (lire ci-après).
Le diagnostic différentiel de la PDNC concerne donc principalement à éliminer une suspicion de DNC, voire de teigne.
D'autres affections cutanées moins similaires peuvent être aussi envisagées dans ce diagnostic différentiel : la dermatophilose, la leucose cutanée, deux parapoxviroses (stomatite papuleuse bovine et pseudocowpox), le cowpox, l'ehrlichiose, la démodécie, la besnoitiose, l'hypodermose, la photosensibilisation, une urticaire, une tuberculose cutanée et l'onchocerchose.
Conclusion
La PDNC est généralement une maladie bénigne pouvant passer inaperçue et qui évolue vers une guérison sans séquelle. Elle semble rare mais peut-être est-elle sous-estimée du fait de l'absence de symptômes inquiétants pour l'éleveur.
Certainement le contexte actuel du risque d'une DNC lors de l'apparition de lésions cutanées dans un élevage bovin justifiera l'appel de l'éleveur souhaitant un diagnostic différentiel rassurant.
Enfin, à la différence de la DNC, cette herpèsvirose peut réapparaître dans l'élevage du fait de la présence de porteurs latents. ■
Références :
1 Martin WB et al. Vet Rec 1966, 78:494.
2 Castrucci G et al. Am J Vet Res. 1978, 39: 943.
3 D'Offay JM et al. J Am Vet Med Assoc. 2003, 222:1404.
4 Gallina L et al. Pathogens. 2020, 9:583.
5 Coetzer JAW & Dr. Eeva Tuppurainen E. Lumpy skin disease (https://pdfs.semanticscholar.org/5209/23c36b3e10225ac508c6e1fcbb838a1d3f34.pdf).
Gros Plan : Infection par l'herpèsvirus BoHV-2 chez les bovins : une répartition mondiale
L'infection par le BoHV-2 est associée à deux syndromes cliniques distincts chez les bovins : une forme mammaire associée à des ulcères localisés et douloureux au niveau des trayons des vaches laitières, d'où le nom de thélite (mammillite) herpétique ulcérative, et une forme généralisée (PDNC), caractérisée par un nombre variable de lésions cutanées superficielles circonscrites disséminées sur tout le corps et d'évolution bénigne.
L'origine herpétique de la thélite ulcérative a été démontrée en Angleterre en 19631.
Ce n'est que plus tard que l'on observa que l'inoculation intraveineuse de cet herpèsvirus pouvait provoquer une infection généralisée similaire à une maladie décrite en Afrique du sud sous le nom de pseudo dermatose nodulaire contagieuse (PDNC) alors rapportée à un virus dénommé Allerton dont l'effet cytopathogène s'accompagnait d'une évolution bénigne par comparaison avec la dermatose nodulaire contagieuse (DNC)2.
Cette PDNC, considérée comme rare, était vraisemblablement sous-estimée du fait de son évolution bénigne.
Le BoHV-2 connaît une répartition mondiale et serait transmis par des stomoxes.
Présent à l'état latent chez l'animal, il peut être réactivé lors d'un stress (souvent dans les deux semaines après le part, en début de lactation...).
Dans la forme généralisée, l'évolution est bénigne et évoque plutôt la teigne mais avec des lésions surélevées de 1 à 2 mm et des gonflements circulaires (de 0,5 à 2 cm de diamètre). Ces lésions forment une sorte de croûte très facile à retirer, voire éliminées par frottement.
La guérison est spontanée sans cicatrice, sans nécessiter un traitement en l'absence de surinfection cutanée.
Certains bovins séropositifs pour le BoHV-2 peuvent devenir porteurs latents du virus suite à l'infection.
La recrudescence du virus provoquée par le stress chez les animaux infectés latents représente une source de BoHV-2 transmis par des insectes hématophages vecteurs aux bovins sensibles dans le troupeau.
Diagnostic au laboratoire
Mise en évidence du virus BoHV-2 ou de son ADN
Pour isoler le virus le prélèvement cutané doit être précoce dès la première semaine d'apparition de la PDNC (avant l'apparition des anticorps neutralisants) mais l'ADN viral peut être identifié par PCR3.
Cependant, il faut noter que la surveillance de la DNC en Italie a permis d'observer des cas de co-infections virales par des virus épithéliotropes (parapoxvirus zoonotique, papillomavirus bovin et BoHV-2) dans des lésions cutanées chez des bovins4.
Examens sérologiques
Les enquêtes sérologiques ont permis de démontrer que 10 à 30 % des bovins des troupeaux ayant des antécédents d'affections cutanées pouvaient être séropositifs mais un pourcentage égal de bovins de troupeaux sans antécédents d'affections cutanées peuvent être également séropositifs au BoHV-23.
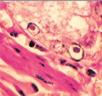
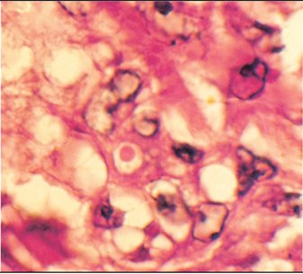
Examen anatomo-pathologique
A l'examen histologique, la présence de corps d'inclusion intranucléaires est caractéristique de l'herpèsvirose, contrairement au capripoxvirus de la DNC associé à des inclusions intracytoplasmiques (figures n° 6a et 6b). J.B.-P.