Cytologie au quotidien
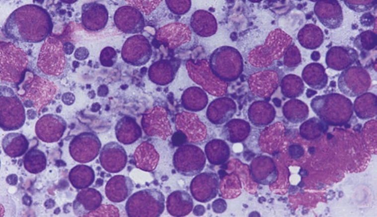
Vendredi 24 Avril 2020 Vie de la professionLymphome de haut grade de malignité chez un chien: Observation d'une population de cellules rondes de taille moyenne à grande à fort rapport nucléo-cytoplasmique permettant de reconnaitre des cellules lymphoïdes. Cette population est monomorphe malgré des tailles variables et blastiques avec observation de nucléole. (May-Grünwald-Giemsa ; X1000).
© Laboratoire central de biologie médicale ENVT
La cytologie se définit comme l'examen morphologique microscopique d'amas cellulaires ou de cellules isolées, par opposition à l'histologie qui consiste en l'étude de l'architecture des tissus. Longtemps considérée comme une sous-discipline par rapport à...
« Toute reproduction, diffusion, traduction ou exploitation totale ou partielle de nos contenus de quelque nature que ce soit, accessibles gratuitement ou non, sans l’autorisation écrite et préalable de La Dépêche Vétérinaire, est strictement interdite (articles L. 335-2 du Code de la propriété intellectuelle) »





