Vomissements et polyuropolydipsie chez une chatte : quel est votre diagnostic ?
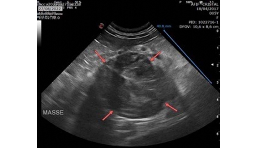
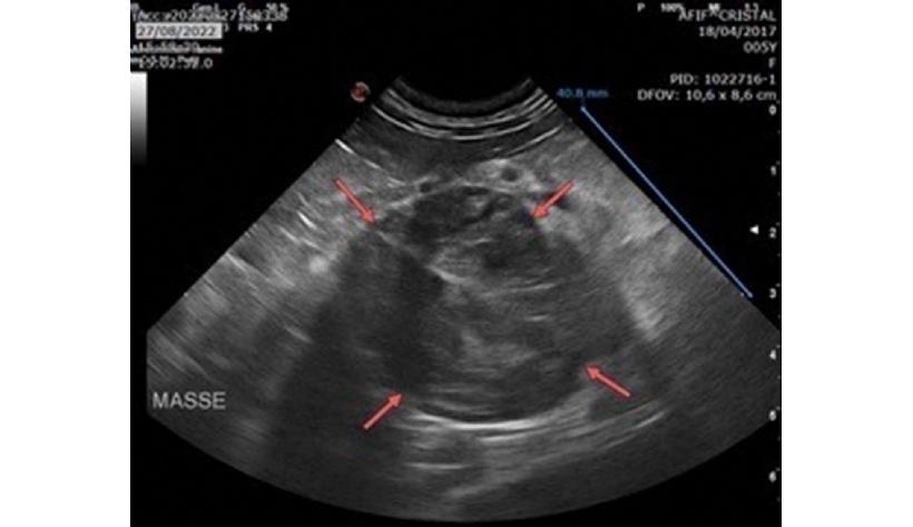
Mercredi 19 Mars 2025 Animaux de compagnieMasse surrénalienne droite de 4 cm de diamètre, d'aspect hétérogène (flèches rouges).
© D.R.
Une chatte européenne stérilisée de 5 ans est présentée pour vomissements, abattement et anorexie d'apparition aiguë dans un contexte de polyuropolydipsie.
« Toute reproduction, diffusion, traduction ou exploitation totale ou partielle de nos contenus de quelque nature que ce soit, accessibles gratuitement ou non, sans l’autorisation écrite et préalable de La Dépêche Vétérinaire, est strictement interdite (articles L. 335-2 du Code de la propriété intellectuelle) »





