Les formes cutanées des virus félins
© Anne Roussel
De Charline PRESSANTI et Jean-Charles HUSSON
Les auteurs de cet article déclarent n'avoir aucun lien d'intérêt avec le sujet traité.
Les dermatoses virales dans l'espèce féline constituent un domaine souvent peu exploré en médecine féline. Pourtant en constante évolution depuis quelques années, ce domaine de la dermatologie des carnivores pose de nombreuses difficultés cliniques, diagnostiques et thérapeutiques dans notre pratique quotidienne.
Ces dermatoses, souvent d'aspect lésionnel peu spécifique (ulcératives en général), entrent dans le diagnostic différentiel de nombreuses affections cutanées félines. Leur reconnaissance et leur suspicion précoce permettent de mettre en oeuvre des méthodes diagnostiques spécifiques et adaptées.
Il s'agit ici d'aborder ces dermatoses de manière pratique en se basant sur les lésions dominantes.
On distingue cliniquement deux situations : les dermatoses ulcératives et les dermatoses prolifératives et squameuses (cf. fig. 1).
En effet, toute infection virale va, par définition, induire la pénétration du virus au sein des cellules du tissu cible. Il s'agit le plus souvent des kératinocytes lors des dermatoses virales. Le virus en fonction de sa biologie infectera la couche cellulaire adaptée à son mode de réplication. Sa réplication, sa multiplication, sa libération et la réponse du système immunitaire seront à l'origine de lésions cutanées visibles, accessibles pour le praticien.
Par souci de clarté, on distinguera, schématiquement, les virus dits « lytiques », induisant des lésions ulcératives, des virus « non lytiques » qui sont susceptibles d'induire des lésions non ulcérées, squameuses et parfois épaissies, « en relief ».
LES DERMATOSES VIRALES ULCÉRATIVES/TÉRÉBRANTES
Poxvirose
Cette infection est causée par le cowpox virus, du genre Orthopoxvirus. Ce virus est endémique en Europe mais reste de faible prévalence
chez les carnivores domestiques. Les rongeurs sauvages (campagnols, mulots) représentent le réservoir naturel, l'inoculation du virus se faisant principalement par voie transcutanée. L'incidence de l'infection est donc calquée sur le calendrier de reproduction et d'activité de ces animaux sauvages (été et automne). Les chats exposés sont des animaux d'extérieur, vivant en milieu rural et ayant un fort comportement de prédation.
Cette infection virale est une zoonose. La lésion primitive est généralement fugace, il s'agit d'un nodule, le plus souvent unique (« pock »), qui laisse rapidement place à un ulcère recouvert d'une croûte (cf. photo 1). De nombreuses lésions secondaires se développent par la suite. Les zones touchées sont les zones de contact avec l'animal réservoir, le plus souvent la face, le cou et les membres thoraciques. Le prurit est inconstant, 20 % des animaux développent des vésicules et des ulcères dans la cavité buccale. Certains individus présentent des signes généraux peu spécifiques (abattement, hyperthermie, diarrhée). Les lésions guérissent spontanément et lentement en quatre à cinq semaines. Seuls les chats immunodéprimés peuvent présenter une pneumonie souvent fatale.
Le diagnostic est essentiellement basé sur deux examens : l'analyse histologique d'un fragment biopsique et la PCR. Les lésions histologiques sont plus ou moins faciles à reconnaître. Elles consistent en une dégénérescence hydropique et une nécrose de coagulation de l'épiderme, des follicules pileux et des glandes sébacées, et surtout en la présence très caractéristique d'inclusions virales cytoplasmiques éosinophiles (cf. photo 2). Les lésions de nécrose épidermique sont étendues et des vésicules de petite taille sont également parfois notées. Une violente inflammation dermique neutrophilique accompagne ces lésions. Les inclusions intracytoplasmiques typiques de l'infection à poxvirus peuvent être vues sur un examen cytologique après prélèvement de lésions récentes (par calque par impression après retrait de la croûte).
Il n'existe pas de traitement spécifique. Les lésions guérissent spontanément en quelques semaines. Une antibiothérapie systémique peut être prescrite en fonction de la surinfection bactérienne secondaire, tout traitement immunomodulateur doit être stoppé. Enfin, rappelons que la poxvirose féline est une zoonose.
Herpès virose
Il s'agit d'une infection causée par l'alpha herpesvirus félin de type 1 (FHV-1). La plupart du temps, elle est associée au syndrome coryza, se limitant à une infection des voies respiratoires hautes et des conjonctives. Après l'épisode d'infection aigue, le virus entre en phase de « latence » dans le ganglion trijumeau chez 80 % des individus environ. Une phase de stress, la prise d'un immunomodulateur peuvent alors déclencher une réactivation virale pouvant être associée à des lésions de la cavité buccale et/ou des lésions cutanées.
Les lésions cutanées sont ulcératives et souvent multiples. Elles peuvent toucher toutes les régions du corps, y compris les coussinets, mais c'est la face qui est la plus communément affectée. Il s'agit de lésions ulcérées, suintantes, recouvertes de croûtes, touchant le chanfrein, la région infra-oculaire (cf. photo 3) et qui peuvent s'étendre jusqu'aux lèvres (répartition en « ailes de papillon »).
Cette présentation clinique est souvent associée à une stomatite. Les signes respiratoires ou généraux ne sont pas forcément présents. L'examen cytologique des lésions ulcérées permet de mettre en évidence une infiltration éosinophilique parfois majeure. Les surinfections bactériennes secondaires sont fréquentes.
Le prurit est parfois présent et peut être violent, l'infiltration éosinophilique associée visible à l'examen cytologique peut donc constituer un piège diagnostique et ces lésions peuvent être confondues avec des lésions d'origine allergique (lésions du CGEF ou complexe granulome éosinophilique félin, hypersensibilité aux piqûres de moustiques, cf. photo 4).
A l'heure actuelle, le diagnostic est établi grâce à une analyse histopathologique compatible couplée à une PCR quantitative.Il est important d'avoir recours à cette PCR pour la détection des virus pouvant être portés de manière asymptomatique. Pour cet examen, Il est préférable d'envoyer un fragment tissulaire de la zone lésée. Les prélèvements à la cytobrosse sont possibles mais plus aléatoires.
L'analyse histologique permet de voir une inflammation périvasculaire diffuse à majorité d'éosinophiles, des larges plages de nécrose et de perte de substance parfois profondes. Les inclusions virales sont plus inconstantes et plus difficiles à voir que lors de poxvirose. Elles sont à rechercher dans le noyau des kératinocytes épidermiques et folliculaires en périphérie des zones ulcérées. Les inclusions virales d'herpès peuvent se présenter sous la forme d'une inclusion (comme un grain) éosinophile centrale pouvant être confondue avec le nucléole, soit sous la forme d'un noyau à chromatine marginée (formation d'un liseré de couleur bleutée en périphérie du noyau) avec un aspect discrètement bleuté et vitreux du nucléoplasme (cf. photo 5).
Les résolutions spontanées sont possibles. Le risque de récidive est néanmoins important. La prise en charge de la surinfection bactérienne suffit parfois à améliorer voire guérir les lésions cutanées.
Pour les formes étendues, l'antiviral de choix est le Famciclovir à une dose variant de 40 à 90 mg/kg/BID 1,2. Certains topiques formulés en humaine pour le traitement du « bouton de fièvre » (penciclovir) peuvent être utilisés en complément du traitement systémique. Les interférons (alpha, oméga recombinant félins) ont été utilisés et dans certains cas décrits dans la littérature. Il s'agit de cas isolés et aucune étude contrôlée n'a été effectuée pour en démontrer l'efficacité. Les doses d'IFN-a varient largement dans les données publiées (1 MU/m² par voie SC trois fois à une semaine d'intervalle, 0,01-1 MU/kg/SID trois semaines) 3. La supplémentation en L-lysine ne semble pas permettre d'amélioration clinique.
Calicivirose
Le calicivirus félin est un agent connu du syndrome coryza responsable de troubles respiratoires et de lésions ulcératives de la cavité orale.
Les lésions évoluant dans la forme aigue « classique » du calicivirus sont situées dans la cavité buccale (la langue), les lèvres et le philtrum nasal. Il s'agit de lésions ulcératives (cf. photos 6 et 7).
La forme hypervirulente de calicivirose a été rapportée chez des chats de huit semaines à seize ans mais semble prévaloir chez le chat adulte.
Cliniquement les animaux montrent une dégradation marquée de l'état général (abattement, hyperthermie, anorexie), un ictère et des signes digestifs de type diarrhée. Les lésions cutanées sont peu spécifiques. On observe généralement un oedème des membres associé à un purpura, suivis rapidement d'une nécrose et d'un décollement de la peau (cf. photos 8 et 9). Des lésions ulcérées peuvent être notées sur les lèvres, le museau, les oreilles et les coussinets, moins fréquemment sur l'abdomen ou le pourtour de l'anus.
Les lésions histologiques sont peu spécifiques. Le diagnostic des formes hypervirulentes est souvent permis par l'atteinte de l'état général associé à la détection du virus par PCR dans le sang. Il est rare d'avoir recours à une PCR sur biopsie cutanée, mais dans ce cas, il faut privilégier une PCR quantitative.
LES DERMATOSES NON ULCÉRATIVES/EN RELIEF
Papillomaviroses
Les papillomavirus (PV) sont une famille de virus relativement spécifiques d'espèce, de petite taille, non enveloppés, qui infectent et transforment les épithéliums et plus particulièrement l'épiderme. Le papillomavirus est transmis par contact direct. Il infecte les cellules de la couche basale, cette infection étant facilitée par des microabrasions cutanées. Le cycle viral dépend totalement de la prolifération, de la différentiation et de la kératinisation des kératinocytes. Seules les cellules différenciées superficielles vont permettre l'assemblage terminal du virus. L'infection par le virus va altérer le métabolisme des kératinocytes en modifiant considérablement les différentes étapes de la cornéogénèse et conduire à terme à des lésions prolifératives, en relief.
Chez le chat on distingue plusieurs entités cliniques associées au PV. Il s'agit principalement des plaques virales, du BISC (carcinome in situ bowénoïde) et du carcinome épidermoïde. Bien que ces trois entités soient abordées de manière distincte dans la littérature, ces trois lésions constituent probablement un continuum lésionnel d'une transformation tumorale des kératinocytes. A noter que, contrairement au chien, les papillomes cutanés d'origine virale sont très rares chez le chat.
Même si l'infection par le PV et son portage peuvent être asymptomatiques chez de nombreux individus, certains facteurs individuels vont favoriser l'émergence d'une infection cliniquement identifiable. Certaines races comme le Sphinx ou encore le Dexon Rex semblent prédisposées.
Les plaques virales se développent chez des chats adultes/âgés (entre huit et quatorze ans). Les lésions de BISC ont tendance à se développer chez des chats âgés. Les plaques virales se développent préférentiellement sur les membres thoraciques, la face, le cou mais peuvent toucher toutes les parties du corps. Ces lésions sont multiples, de petite taille, squamo-croûteuses, souvent hyperpigmentées. Les lésions de BISC sont assez similaires mais elles sont de taille plus importante, l'intensité lésionnelle est plus marquée, la surélévation plus importante et elles peuvent s'ulcérer 4(cf. photos 10 et 11).
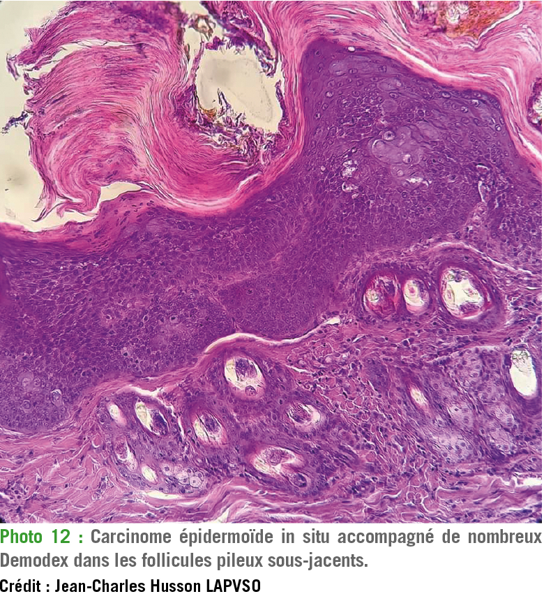
Des demodex ont été sont parfois observés au sein de ces lésions (cf. photo 12).
Le carcinome épidermoïde (CE) d'origine virale est plus rarement observé que la forme classique associée à une exposition aux UV dans les zones cutanées peu pigmentées. Les carcinomes survenant dans les zones velues et pigmentées sont plus souvent associés aux infections par le PV. Les formes de CE en surélévation, exophytiques seraient également plus souvent en lien avec le PV. Les Sphinx et Devon Rex pourraient plus facilement développer des CE à partir de plaques virales et de lésions de BISC 5,6.
Tous les stades décrits peuvent co-exister chez un même individu.
Le diagnostic des plaques virales et lésions de BISC se base sur l'analyse histopathologique et la recherche du virus par PCR.
Les plaques virales sont caractérisées par une hyperplasie épidermique légère à modérée atteignant parfois la partie haute des follicules pileux. Les effets cytopathiques du virus se traduisent par des grains de kératohyaline irréguliers et la présence de koïlocytes (kératinocytes à cytoplasme ballonisé et pâle et à noyau pycnotique). L'hyperpigmentation est fréquente (cf. photo 13).
Les carcinomes bowenoïdes in situ (ou carcinomes épidermoïdes in situ) montrent des signes de tumorisation. On observe une dysplasie épidermique variable, des atypies cellulaires (cellules et noyaux de tailles différentes) et des mitoses des kératinocytes supra-basaux. En revanche, il n'y a pas d'effraction de la jonction dermo-épidermique (« in situ »), un critère décisif qui différencie cette entité du carcinome épidermoïde infiltrant (cf. photo 14).
Le traitement constitue un véritable challenge et peu de données sont disponibles dans la littérature. La chirurgie est souvent impossible du fait du caractère multicentrique des lésions. L'utilisation de l'imiquimod (Aldara ®) en crème est possible sur les plaques et les lésions de BISC. Les résultats sont variables, les récidives importantes et le traitement est souvent difficile à appliquer chez le chat pour qui le risque de léchage est important 7. La cryothérapie peut être envisagée dans les lésions débutantes.
Le sarcoïde félin est une forme rare d'infection virale chez le chat. Il est lié à une infection par un deltapapillomavirus bovin (BPV-14) assez proche des BPV-1, -2 et -13 responsables des sarcoïdes chez les équidés. Les bovidés sont généralement infectés de manière asymptomatique par le BPV-14. Les chats touchés sont donc des individus vivant en zone rurale et ayant des contacts avec des bovins d'élevage. Cette forme touche plutôt les chats mâles jeunes adultes. Il se traduit par l'apparition d'un nodule unique le plus souvent non ulcéré dans la région de la face, en particulier sur la truffe et sur les lèvres (cf. photo 15).
Le diagnostic est avant tout histopathologique. Il met en évidence une prolifération abondante de cellules mésenchymateuses bien différenciées au sein du derme. La masse dermique est recouverte d'un épiderme hyperplasique qui tend à s'enfoncer dans le derme sous forme de languettes (rete pegs). La PCR confirme la présence du virus.
FeLV (virus leucémogène félin)
Le FeLV étant un virus provoquant à terme une immunodéficience, l'infection virale peut favoriser toutes les dermatoses infectieuses opportunistes (malasseziose, candidose...).
Plus spécifiquement, une dermatose associée au FeLV a été décrite au début des années 90. Il s'agit d'une dermatose très rare appelée dermatose à cellules géantes. Compte-tenu du très faible nombre de cas décrits, il est difficile d'affirmer avec certitude que cette dermatose est directement liée aux effets du virus 8.
Les signes de cette affection cutanée sont variables, incluant des ulcères en région faciale près des lèvres, sur les membres et les coussinets. Un état kérato-séborrhéique dominé par de larges squames se développe ensuite sur le dos puis progresse en formant des croutes qui peuvent d'étendre sur les coussinets (cf. photos 16 et 17) et le pourtour anal.
Les aspects histologiques sont assez typiques et il s'agit de l'examen complémentaire de choix pour cette affection. On observe la formation de cellules géantes syncitiales dans l'épiderme et la gaine des follicules pileux. Certaines cellules peuvent contenir jusqu'à 30 noyaux et un cytoplasme abondant éosinophile.
Il n'existe pas de traitement rapporté efficace pour cette affection dont le pronostic est très mauvais.
Les cornes cutanées peuvent être observées chez des chats infectés par le FeLV. Le lien entre le virus et l'apparition de ces lésions demeure incertain. Il s'agit de lésions prolifératives, kératinisées se localisant préférentiellement sur les coussinets centraux et plus rarement sur le reste du corps. Il est important de noter que ce type de lésions peut survenir chez des animaux non infectés par le FeLV.
DERMATOSES NON LIÉES AUX EFFETS DIRECTS DU VIRUS
FIV (virus d'immunodéficience féline)
Bien que le FIV ne provoque pas directement de lésions cutanées spécifiques, certaines formes cliniques ont été rapportées en association avec une immunodépression : pododermatite plasmocytaire, polychondrite auriculaire, démodécie, formes rebelles de dermatophytoses, prurit rebelle. Il faudra suspecter une infection par le FIV lors d'abcès récidivants ou lors d'infections fongiques plus rares liées à Cryptococcus neoformans ou encore Candida albicans. Le FIV peut également augmenter les risques de développement de BISC ou de mastocytome.
Dans tous les cas de dermatose chronique, il est justifié de vérifier le statut rétroviral du chat.
PIF (Péritonite infectieuse féline)
La péritonite infectieuse féline est causée par une forme mutée du coronavirus entéritique félin. Le virus est à l'origine de lésions de vascularite pyogranulomateuse affectant de nombreux organes. La peau reste toutefois un organe cible anecdotique dans cette maladie. Les lésions cutanées qui ont été rapportées lors de PIF se traduisent par des papules ou des nodules non douloureux et non prurigineux sur la tête, le cou, le tronc et les membres. Des macules purpuriques sont parfois observées (cf. photos 18 et 19).
Le diagnostic n'est normalement pas établi à partir des lésions cutanées, la PIF étant avant tout une maladie systémique.
CONCLUSION
Les dermatoses virales sont peu nombreuses chez le chat. Il faudra en retenir cinq principales : l'herpesvirose, les caliciviroses, les poxviroses, les papillomaviroses et les dermatoses liées au FeLV.
Bien que rares, ces affections doivent être suspectées dans certaines situations cliniques particulières.
Les présentations cutanées ne sont pas toujours spécifiques, il est donc important de connaitre ces entités pour mettre en place précocement les mesures diagnostiques et thérapeutiques adaptées.






