La dysplasie du coude : comment s'y retrouver ?
La fragmentation du processus coronoïde médial est souvent difficilement détectable directement. On observe cependant des lésions secondaires comme de la sclérose de l'os ulnaire (augmentation de la densité) et parfois des ostéophytes.
© D.R.
PUBLI-REDACTIONNEL
Chaque mois, le Dr Aymeric Mauverou, consultant expert Agria Assurance pour animaux, vous présente un cas pratique. Ce mois-ci, nous nous intéressons à la prise en charge des affections du coude en pratique généraliste.
La dysplasie du coude est un terme regroupant plusieurs affections du coude, chacune ayant des traitements spécifiques. Elle touche des animaux souvent de grand format et provoque des boiteries plus ou moins marquées. Il est donc parfois difficile de s'y retrouver.
L'objectif de cet article est de présenter les différentes affections de cette articulation et leurs traitements afin de proposer une prise en charge pratique et utile dans le cadre d'une activité généraliste.
Généralités
La dysplasie du coude est une anomalie du développement. Elle apparaît donc généralement assez jeune dans la vie de l'animal (quelques mois). Les premiers symptômes peuvent évoluer rapidement surtout lors d'atteintes multiples ou importantes.
L'origine de la dysplasie du coude est multifactorielle. Une origine génétique et héréditaire a été mise en évidence, c'est pourquoi, le dépistage des animaux de reproduction est indispensable dans les races concernées. Un surpoids, un apport nutritionnel excessif (compléments riches en calcium) et une hyperactivité sont des facteurs pouvant aggraver et accélérer l'apparition de lésions et des symptômes.
Les races de taille moyenne à géante sont fortement prédisposées ; parmi elles : golden retriever, Labrador, mastiff, berger allemand, Terre Neuve, saint-Bernard, bouvier bernois, cane corso, rottweiler et American Staffordshire terrier.
La dysplasie regroupe donc quatre affections :
- la non union du processus anconé (NUPA) ;
- la fragmentation du processus coronoïde médial (FPCM) ;
- l'ostéochondrite disséquante (OCD) ;
- l'incongruence articulaire.
Toutes ces affections provoquent un inconfort avec le développement d'arthrose à plus ou moins long terme.
Le motif de consultation est souvent une boiterie chez un jeune animal, d'un ou deux membres antérieurs et s'aggravant avec l'exercice. Dans des cas avancés, une démarche avec les coudes déportés vers l'extérieur est parfois notée, allant même jusqu'à un refus d'exercice.
La consultation
A l'instar de toutes les boiteries, un examen à distance est indispensable afin de confirmer le ou les membres atteints et d'objectiver correctement la boiterie. Dans le cadre d'une dysplasie du coude, la sévérité de la boiterie dépendra du degré d'atteinte de l'articulation, elle peut aller d'une simple boiterie intermittente avec appui à des animaux présentant des difficultés à se lever lors d'atteinte bilatérale par exemple.
L'examen clinique général est souvent non remarquable car les animaux sont le plus souvent jeunes et en bonne santé excepté la gêne articulaire. Une auscultation cardio-respiratoire attentive est cependant importante car les examens complémentaires d'imagerie et notamment les radiographies du coude en pratique généraliste sont à prévoir sous tranquillisation chimique pour obtenir les vues nécessaires.
A l'examen rapproché des membres antérieurs, une manipulation de toutes les articulations allant d'une extrémité à l'autre est indispensable.
Dans le cadre de la dysplasie du coude, la palpation peut révéler une articulation gonflée ou déformée. Les manoeuvres à exécuter pour un examen correct sont ensuite des flexions et extensions complètes ainsi qu'une mise en compression du processus coronoïde médial (test de Campbell).
Une mobilisation isolée du coude est importante. Pour cela, pour un coude gauche, placer la main droite derrière le coude et la main gauche sur la partie distale du radius. Cette main effectuera les flexions/extensions. Pour effectuer une extension complète, la main située en arrière du coude viendra faire contre-appui pour accentuer le mouvement.
Le test de Campbell s'effectue en plaçant l'humérus et le radius à 90° et avec les mêmes positions des mains que pour les manoeuvres précédentes. Le carpe sera tourné vers l'intérieur (pronation du membre) afin de mettre en compression le cadran médial du coude et le processus coronoïde médial.
Tout inconfort, douleur ou crépitations à l'une de ces manoeuvres sera à noter.
La radiographie
Une fois que le ou les coudes en question ont été ciblés, l'examen suivant à réaliser est une radiographie. Cet examen est à faire sous sédation chimique afin d'obtenir une myorelaxation et un positionnement correct de l'articulation.
En pratique généraliste, trois vues sont conseillées : latérale, crânio-caudale et latérale en flexion.
Non union du processus anconé
La vue latérale en flexion permet de dégager le processus anconé et de pouvoir observer la non union. Le processus anconé doit être complètement uni à l'âge de 20 semaines dans toutes les races.
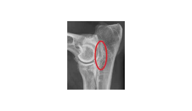
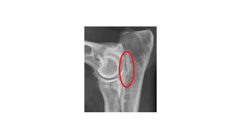
Fragmentation du processus coronoïde médial
La fragmentation est souvent difficilement détectable directement. On observe cependant des lésions secondaires comme de la sclérose de l'os ulnaire (augmentation de la densité) et parfois des ostéophytes.
Incongruence articulaire
La radiographie de profil permet de détecter les cas avec une atteinte marquée. Un décalage comme une « marche d'escalier » sera visible dans l'interligne articulaire entre le radius et l'ulna.
La radiographie permet donc d'objectiver directement ou indirectement des anomalies caractéristiques de la dysplasie. Il est cependant important de se souvenir que des animaux peuvent être touchés par plusieurs lésions en même temps et que celles-ci ne sont parfois pas observables à la radiographie.
Lors d'une douleur mise en évidence à l'examen clinique sans anomalie radiographiquement visible, il sera important de conseiller un examen scanner pour une exploration plus précise.
La prise en charge thérapeutique
Comme dans toutes les pathologies articulaires, il est important de soulager la douleur et d'améliorer le confort de l'animal en optant pour des anti-inflammatoires non stéroïdiens (AINS). Il est parfois nécessaire d'y adjoindre la prescription de morphiniques.
La dysplasie du coude touchant principalement de jeunes animaux, il est important d'agir rapidement pour diminuer les lésions arthrosiques secondaires. Il faut donc sensibiliser le propriétaire à consulter un spécialiste pour le traitement chirurgical et discuter du pronostic. ■
Gros Plan : Vocabulaire utilisé par les assurances
Plafond (montant assuré) : indemnisation maximale qui peut être versée au titre de l'assurance, soit jusqu'à 4 500 euros par an chez Agria.
Délai de carence : laps de temps entre la conclusion du contrat d'assurance et l'application effective des garanties. Agria propose les délais de carence les plus courts : l'animal est couvert sous 24 heures pour les accidents et chirurgies qui en découlent et sous 20 jours pour les maladies et chirurgies qui en découlent. ■






