Faiblesse chez un golden retriever : quel est votre diagnostic ?

Photo n° 1 : ECG réalisé lors de la stabilisation de l'animal (25 mm/s).

© D.R.

Édouard MARTIN

Ipsav

Faculté de médecine vétérinaire Saint Hyacinthe

Université de Montréal

(Québec, Canada)

logo afvac 2024 avec nom cmjn

Exposé

Un golden retriever mâle castré de 6 ans est présenté pour faiblesse d'apparition aiguë depuis le matin de la présentation.

À son arrivée, le patient est non ambulatoire. Son examen révèle une tachycardie à 160 bpm, une légère hypothermie à 36,9° C, des muqueuses rose pâle, un temps de remplissage capillaire (TRC) inférieur à deux secondes et un pouls fémoral d'intensité variable (plus palpable lors de l'expiration et disparition lors de l'inspiration).

L'auscultation cardiaque est rendue difficile par la position du chien en décubitus latéral et son halètement.

Un électrocardiogramme (ECG) est réalisé lors de la stabilisation (25 mm/s) (photo n° 1).

1/ Quel est votre diagnostic ?

2/ Quelle est la prise en charge thérapeutique ?

Réponses

1/ Quel est votre diagnostic ?

L'ECG révèle une tachycardie sinusale avec variation d'amplitude des complexes QRS, compatible avec une alternance électrique.

Ce phénomène, caractérisé par un changement de taille et configuration du complexe QRS un battement sur deux, est typique des épanchements péri­cardiques et résulte des mouvements cardiaques dans le liquide péricardique. Des altérations de l'onde T peuvent également être présentes.

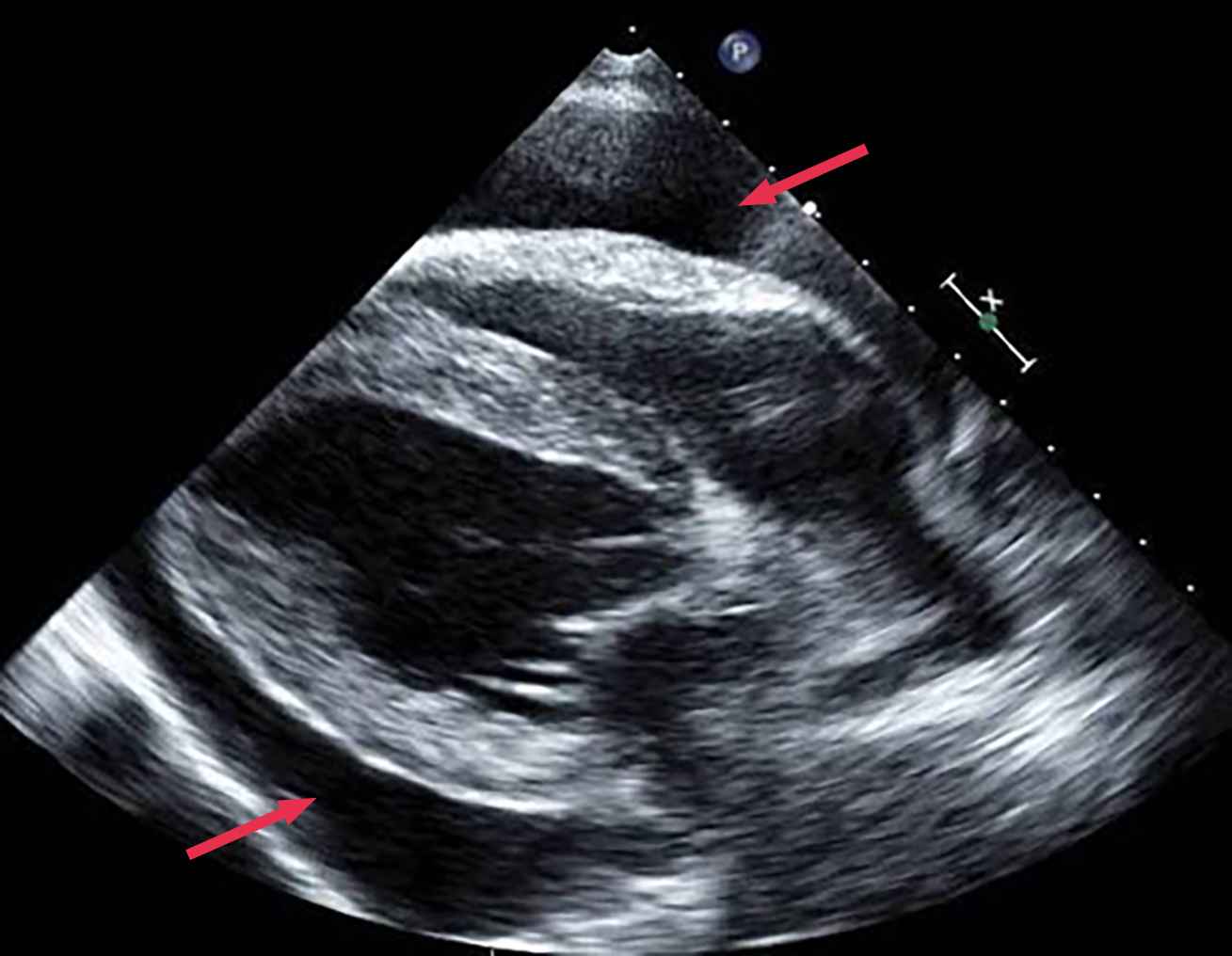
Une échographie POCUS (Point Of Care UltraSound) thoracique confirme la présence d'un épanchement péricardique (photo n° 2).

L'état de choc observé (faiblesse, tachycardie, muqueuses pâles, TRC prolongé, hypothermie) est attribuable à une tamponnade cardiaque induite par l'épanchement péricardique, responsable d'un choc obstructif.

La majorité des épanchements péricardiques sont des hémopéricardes, le plus souvent d'origine néoplasique (hémangiosarcome, lymphome, mésothéliome...), idiopathique (notamment chez les chiens mâles d'âge moyen de races golden retriever, berger allemand, dogue allemand, et saint-Bernard), toxique (antivitamines K1) ou liés à une rupture de l'oreillette gauche.

Bien que moins fréquents, des épanchements de types exsudats (exemples : infections fongiques, bactériennes) ou transsudats (exemples : hypoalbuminémie, kyste péricardique) sont également possibles.

Dans ce cas, l'échocardiographie n'a pas montré d'anomalie, laissant suspecter un épanchement péricardique idiopathique.

2/ Quelle est la prise en charge thérapeutique ?

Une péricardiocentèse est réalisée pour retirer l'épanchement péricardique et traiter la tamponnade cardiaque1. Un drain péricardique peut également être mis en place pour éviter les péricardiocentèses répétées lors de récidive (dans 20 % des cas)2.

Dans ce cas, 350 ml de liquide hémorragique ont été retirés.

Aucun signe de récidive ni anomalie échocardiographique n'a été observé dans les six mois suivants, ce qui soutient l'hypothèse d'un épanchement idiopathique. E.M.

Lecture conseillée

1 A. Nectoux, A. Barthelemy. Péricardiocentèse. PratiqueVet. 2018;53:94-6.

2 Preteseille. Mise en place d'un drain péricardique. PratiqueVet. 2022;57:262-5.

Article paru dans La Dépêche Vétérinaire n° 1773

« Toute reproduction, diffusion, traduction ou exploitation totale ou partielle de nos contenus de quelque nature que ce soit, accessibles gratuitement ou non, sans l’autorisation écrite et préalable de La Dépêche Vétérinaire, est strictement interdite (articles L. 335-2 du Code de la propriété intellectuelle) »
Envoyer à un ami

Mot de passe oublié

Reçevoir ses identifiants