Diagnostic des otites externes et moyennes chez le chat : l'intérêt de la cytologie (4)
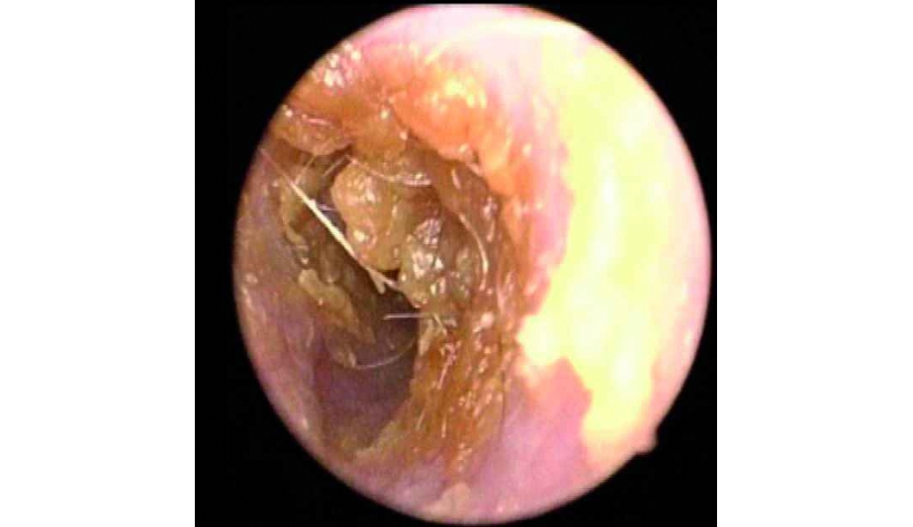
Mercredi 12 Mars 2025 Animaux de compagniePhoto n° 1 : Cérumen jaunâtre abondant obstruant partiellement le MAE visualisé en vidéo-otoscopie.
© D.R.
La cytologie auriculaire tient une place de choix dans la démarche diagnostique d'une otite externe ou moyenne chez le chat. Cet examen permet de mieux caractériser l'otite sur les plans clinique et étiologique et d'assurer un suivi thérapeutique de quali...
« Toute reproduction, diffusion, traduction ou exploitation totale ou partielle de nos contenus de quelque nature que ce soit, accessibles gratuitement ou non, sans l’autorisation écrite et préalable de La Dépêche Vétérinaire, est strictement interdite (articles L. 335-2 du Code de la propriété intellectuelle) »





