Cinq cas de sarcomes associés à un gossypibome chez des chiens et un chat
Mercredi 1 Avril 2026 Animaux de compagnie© D.R.
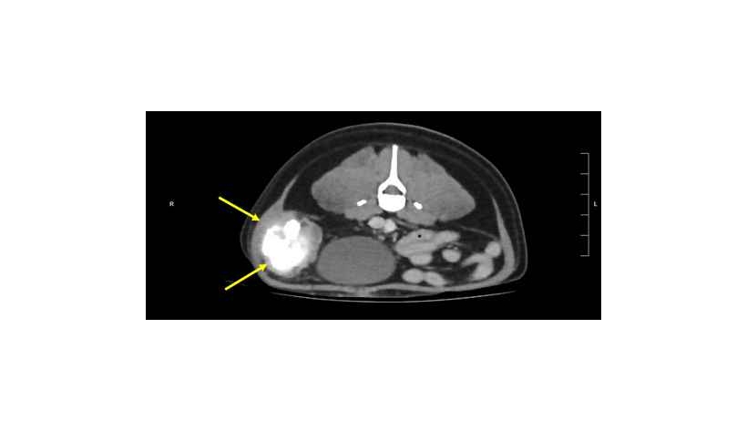
Cette étude* décrit la présentation clinique, le traitement et l'évolution de 4 chiens et 1 chat atteints de sarcome associé à un gossypibome** dans des centres de référés au Royaume-Uni, en Europe, Amérique du Nord et Australie à partir de dossiers clini...
« Toute reproduction, diffusion, traduction ou exploitation totale ou partielle de nos contenus de quelque nature que ce soit, accessibles gratuitement ou non, sans l’autorisation écrite et préalable de La Dépêche Vétérinaire, est strictement interdite (articles L. 335-2 du Code de la propriété intellectuelle) »





