Boiterie chez un jeune Maine coon : quel est votre diagnostic ?
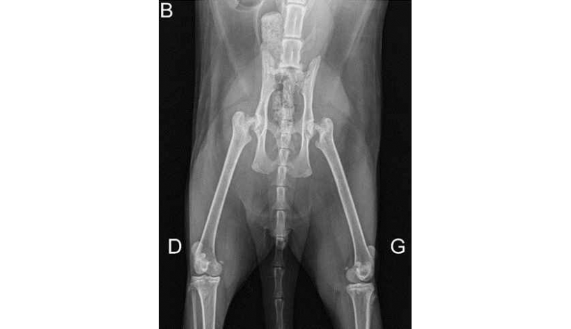
Mercredi 6 Novembre 2024 Animaux de compagniePhoto n° 1A : Radiographie de face du bassin et du rachis lombosacré.
© D.R.
Un chat Maine coon mâle castré de 1,5 an est présenté pour l'exploration d'une boiterie marquée des membres pelviens évoluant depuis trois semaines sans traumatisme rapporté. L'examen neurologique montre une parésie et une ataxie des membres pelviens. Il ...
« Toute reproduction, diffusion, traduction ou exploitation totale ou partielle de nos contenus de quelque nature que ce soit, accessibles gratuitement ou non, sans l’autorisation écrite et préalable de La Dépêche Vétérinaire, est strictement interdite (articles L. 335-2 du Code de la propriété intellectuelle) »





